Prothésiste dentaire à Grenoble – Laboratoire Artesia
Confiez-nous un cas test client, nous vous offrons la réalisation d’une prothèse.
Envoyer vos cas clientsMAÎTRISE DES MATÉRIAUX – SAVOIR-FAIRE – ADAPTATION
Prothèses dentaires en zircone, céramique et matériaux d'exception
Notre savoir-faire s’exprime pleinement dans la transformation des matériaux que nous utilisons. À chaque indication, nous adaptons nos protocoles pour garantir esthétique, précision et fiabilité, au service du praticien et du patient.
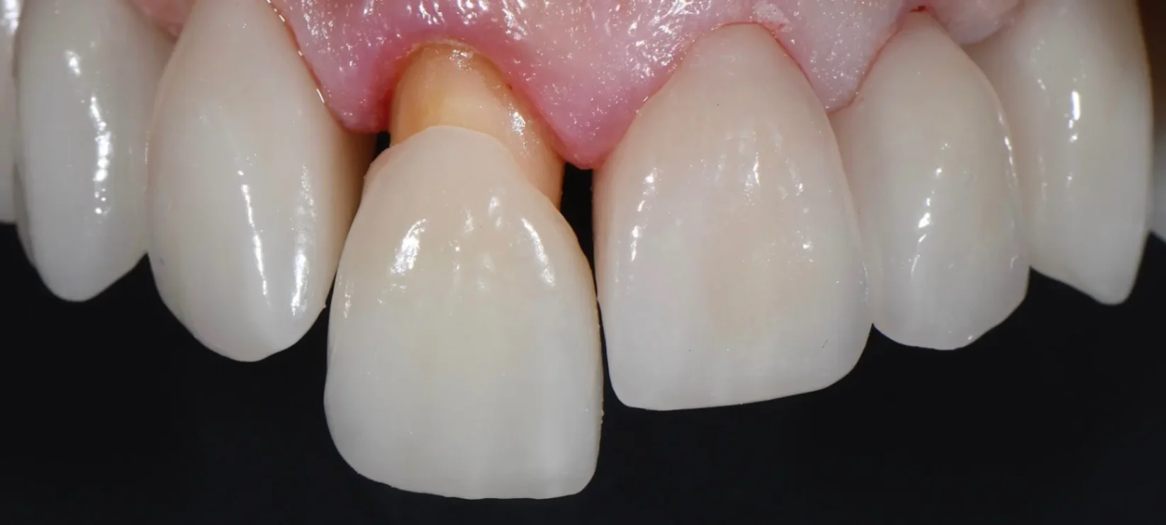
Zircone Prettau 3 dispersive
Idéal pour les restaurations postérieures ou les cas nécessitant une robustesse optimale, ce matériau permet une excellente stabilité dans le temps sans compromettre la finesse du travail.
Zircone Prettau 4 dispersive
Conçu pour les secteurs antérieurs ou les cas esthétiques, ce matériau permet une intégration parfaite à l’environnement buccal, avec un rendu naturel et une transmission lumineuse maîtrisée.
Zircone Prettau 2 dispersive
Pensé pour les restaurations implanto-portées, ce choix combine précision d’ajustage, accessibilité clinique et reproductibilité, tout en respectant les exigences biomécaniques du cas.
CONFIANCE – FIDÉLITÉ – PARTENARIAT SUR LE LONG TERME
Cabinets dentaires de Grenoble et Meylan : plus de 15 ans de confiance
Depuis 2008, des praticiens exigeants ont choisi notre laboratoire dentaire et maintennent leur partenariat. Chaque collaboration est fondée sur un suivi individualisé, une communication directe et un engagement constant sur la qualité des résultats cliniques. La fidélité de nos premiers clients reste notre plus grande fierté.
SERVICES CONCRETS – ORGANISATION FIABLE – DISPONIBILITÉ AU QUOTIDIEN
Nos services de prothèse dentaire pour accompagner votre cabinet
.webp)
Ramassage et livraison de prothèses dentaires à Grenoble et environs
Deux tournées par jour, matin et soir, pour une prise en charge fluide de vos travaux. Disponibilité assurée dans tout le bassin grenoblois et la France entière.
.webp)
Prothèse dentaire express à Grenoble – disponible en moins de 24h
Un besoin urgent dans un rayon de 100km ? Nous réalisons certaines restaurations en express, en une demi-journée, selon l’indication. La réactivité sans compromis sur la qualité.
.webp)
Prise de teinte personnalisée au laboratoire Artesia à Meylan
Nous accueillons vos patients au sein du labo pour une prise de teinte précise et personnalisée. Un cadre moderne et rassurant, pensé pour le confort du patient.
.webp)
Prothèses dentaires sur implants : accompagnement de vos cas cliniques
De la planification à la livraison, nous assurons un suivi complet. Dans certains cas, nous pouvons produire une solution implantaire complète en 4h dans un rayon de 100 km.

EXIGENCE – TRAÇABILITÉ – INDÉPENDANCE TECHNIQUE
Qualité et protocole rigoureux au service des prothèses dentaires
Chez Artesia, la qualité ne se mesure pas uniquement au produit fini. Elle se construit à chaque étape :
- une production 100 % internalisée,
- un protocole reproductible,
- et une culture de service pensée pour les praticiens dentaires les plus exigeants.
Un service de prothèse dentaire fiable et réactif
Chaque prothèse dentaire est conçue dans le respect de protocoles rigoureux.
Nous collaborons étroitement avec chaque praticien pour garantir un résultat fiable, reproductible et sans approximation.
100% des prothèses dentaires fabriquées en interne
Aucun sous-traitant, aucun compromis.
Tout est conçu dans notre laboratoire dentaire, à Grenoble.
Ce contrôle total nous assure une qualité constante et mesurable.
Une cellule autonome dédiée à la prothèse dentaire
Artesia est une cellule autonome, libre dans ses choix techniques.
Cette indépendance nous permet d’être disponibles, réactifs, et proches de nos clients sur le terrain.
EXIGENCE – TRAÇABILITÉ – INDÉPENDANCE TECHNIQUE
Testez notre qualité sur un cas réel dès maintenant
Envoyez-nous un cas client et recevez une prothèse conforme aux standards les plus exigeants du laboratoire.
- Précision maîtrisée
- Protocole rigoureux
- Résultat professionnel
Déposez votre fichier pour lancer votre cas test
Glissez votre fichier ici ou importez-le depuis votre ordinateur.
Taille maximale : 10 Mo
INFORMER – PARTAGER – VALORISER LE MÉTIER
Actualités du laboratoire de prothèse dentaire Artesia
Prothèse scellée ou transvissée sur implant : avantages, inconvénients et critères de choix
Face au choix entre une prothèse implantaire scellée ou transvissée, avantages et inconvénients se répartissent différemment selon chaque situation clinique. Cette question mobilise des critères anatomiques, biologiques, esthétiques et économiques que tout chirurgien-dentiste doit maîtriser. Les sources spécialisées comme Information Dentaire et les études comparatives convergent vers un constat clair : il n'existe pas de solution universelle. Le mode d'assemblage optimal dépend de la position de l'implant dentaire, de l'espace prothétique disponible, des attentes esthétiques du patient et du type de restauration envisagée.
.jpg)
L'impression 3D en prothèse dentaire : avantages et limites réels
La fabrication additive a profondément reconfiguré le secteur dentaire en moins d'une décennie. Aujourd'hui, une imprimante 3D peut produire une couronne provisoire en quelques heures, là où les méthodes traditionnelles exigent plusieurs jours de laboratoire. Cette accélération suscite un intérêt croissant dans les cabinets dentaires et les laboratoires de prothèse, mais aussi des questions légitimes sur la fiabilité, les coûts et les limites réelles de ces technologies.
.webp)




.png)
.png)
.png)
